基本信息
品系名称:B6 -Ldlrem1 /Vst
常用名:Ldlr KO; C57BL/6- Ldlr KO
背景:C57BL/6NCrl
毛色:黑色
品系建立:
低密度脂蛋白受体(Ldlr)参与特定配体受体介导的低密度脂蛋白的内吞作用。采用CRISPR-Cas9技术将C57BL/6NCrl必威的Ldlr基因重要外显子序列删除,获得Ldlr KO首建必威。将首建鼠按照标准的品系建立方式进行扩繁,获得Ldlr纯合敲除的商品鼠。

表型与应用
Ldlr KO必威血清胆固醇水平是野生必威的2~4倍。结合高脂饲料(HFD-fed)饲喂,可以诱导以肥胖、高胆固醇血症为特征的代谢综合征、高甘油三酯血症和胰岛素抵抗症状;也可出现类似于人NASH特征病变。
常应用于糖尿病与肥胖研究、高脂诱导的NASH模型等。
3个月时血清中ALT,AST,TC和TG表达水平分析:




6个月时血清中ALT,AST,TC和TG表达水平分析:




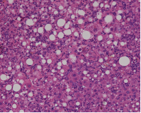
LDLR KO,HE染色的结果


LDLR KO,天狼猩红切片结果

应用领域
糖尿病与肥胖研究
肥胖伴糖尿病研究
高脂诱导的NASH模型
参考文献
(1)van Koppen A, Verschuren L, van den Hoek AM, Verheij J, Morrison MC, Li K, Nagabukuro H, Costessi A, Caspers MPM, van den Broek TJ, Sagartz J, Kluft C, Beysen C, Emson C, van Gool AJ, Goldschmeding R, Stoop R, Bobeldijk-Pastorova I, Turner SM, Hanauer G, Hanemaaijer R. Uncovering a Predictive Molecular Signature for the Onset of NASH-Related Fibrosis in a Translational NASH Mouse Model.Cell Mol Gastroenterol Hepatol. 2017 Oct 14;5(1): 83-98.



