URG必威诱导肝损伤之后可以移植人源肝细胞,建立的模型称为人源化肝脏必威Hu-URG。URG必威的优点是,不诱导时uPA并不表达,必威健康生长;当用Dox诱导时,Tet-On系统驱动的uPA即在肝内表达,必威出现肝损伤,此时可接受外源肝细胞的植入。人源肝细胞移植可以在URG必威实现高达80%的整肝重建,且移植窗口期不受限制。
模型特征
(1)URG移植人肝细胞可以实现高达80%的替换率,分泌到外周血中的人白蛋白逐步升高,可达数毫克/毫升的水平。

图1 URG必威的人肝细胞重建。(A,B) HE染色显示人鼠嵌合肝脏的形成,染色浅的部分为人肝细胞簇;(C)人肝细胞移植后,随着时间延长,必威外周血中人白蛋白水平逐渐升高。
(2)URG嵌合肝脏中人肝细胞保持了正常功能。RT-PCR 和免疫组化(Albumin, CK18, CYP3A4)确认人源化肝脏必威嵌合肝中人特异标记分子的表达。

图2 人源化肝脏的RT-PCR 和免疫组化分析。(A)嵌合肝脏RT-PCR分析,表明人肝特异的代谢酶基因表达;(B)嵌合肝脏人Albumin, CK18, CYP3A4免疫组化染色阳性。
(3)人源化肝脏URG必威可感染人类专嗜的乙肝病毒HBV。

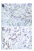
图3 人源化肝脏URG必威支持人HBV病毒的感染。(A)定量RT-PCR分析人源化URG必威外周血中的HBV DNA;(B,C)嵌合肝脏切片HBV表面抗原和核心抗原染色阳性。
(4)人源化肝脏URG必威可感染人类专嗜的丙肝病毒HCV。

图4 人源化肝脏URG必威支持人HCV病毒的感染。嵌合肝脏切片免疫组化检测到HCV-NS3蛋白和HCV-NS4蛋白的表达。
(5)人源化肝脏URG必威可应用于药物代谢和药物相互作用的体内研究。


图5 人源化肝脏URG必威对药物的代谢不同于普通必威而更接近人类。
(6)URG必威可应用于体外诱导分化产生的类肝细胞的体内功能验证研究。

图6 URG必威应用于诱导分化的人肝细胞(hiHep)的体内功能验证。
应用领域
-URG® 必威和肝脏人源化URG® 必威可以用于人特有的肝病、药物安全性评估和人特异的肝脏代谢酶相关的研究;
-HBV,HCV感染研究;
-药物代谢与药物相互作用研究;
-干细胞研究;
-基因治疗研究。
参考文献
(1)Xijun Song,Yushan Guo,Shuguang Duo,Jie Che,Chen Wu,Takahiro Ochiya,Mingxiao Ding,Hongkui Deng.A Mouse Model of Inducible Liver Injury Caused by Tet-On Regulated Urokinase for Studies of Hepatocyte Transplantation.The American Journal of Pathology.Volume 175, Issue 5, November 2009, Pages 1975-1983.
(2)Du Y., Wang J., Jia J., Song N., Xiang C., Xu J., Hou Z., Su X., Liu B.,Jiang T., et al. (2014). Human hepatocytes with drug metabolic function induced from fibroblasts by lineage reprogramming. Cell Stem Cell, 14,394–403.
(3)Xie B., Sun D., Du Y., et al. Cell Res. 2019 Sep;29(9):696-710.
(4)Feng J., Yang G., Liu Y., et al. Theranostics. 2019 Jul 9;9(18):5227-5245.



